国立病院機構相模原病院 臨床検査科へようこそ!
臨床検査技師は、厚生労働大臣認定の国家資格であり、医師の監督指導のもと、患者さまの血液や尿、便などの検体を用いて検査を行います。さらに心電図、超音波など患者さまに直接触れて検査する生理学的検査、感染症の原因を特定し、抗菌薬の選択に役立てる細菌検査、がんの最終診断を行う病理診断の標本作製も担当します。これらの検査結果は、医師が病気の診断や治療方針、予後の判定などを決定するために不可欠な情報です。
現在の医療は、医師を中心に看護師、臨床検査技師、放射線技師、薬剤師、栄養士、リハビリテーション職員(OT、PT)、医療事務職などの各専門医療職が連携して患者さまの診断・治療にあたっています。臨床検査技師もその中の一員として診療に積極的に参加しています。
国立病院機構相模原病院臨床検査科では、以下の部門で検査を行っています。
外来棟1階にある中央採血室では、採血管準備装置で採血管を準備し、臨床検査技師と看護師のスタッフで採血を行っています。

採血管準備装置
・受診票とトリアージシートを採血受付窓口に提出し、お待ちください。
・採血整理券
や採尿コップ
は受付後に職員がお渡しに参ります。
・採血整理券の番号、あるいはお名前が呼ばれましたら、採血室にお入り下さい。
・採血室では検体取り違え防止の為、患者さまご自身にお名前・生年月日をおっしゃっていただいております。ご協力をお願いいたします。
・検査の項目により採血量や採血本数が違いますので、ご理解をお願いいたします。
・採血時のアルコール消毒薬やテープによるアレルギー症状をお持ちの方は、お申し出下さい。


患者さまから採取した検体で、酵素・蛋白質・糖質・脂質・電解質などを測定し、肝機能や腎機能、糖や脂質の代謝などを調べます。
また、HBs抗原やHCV抗体などの感染症やリウマチなどの自己抗体検査、腫瘍マーカーなども測定しています。


食物アレルギー、薬物アレルギー、気管支喘息、アレルギー性鼻炎・花粉症、アトピー性皮膚炎、その他の稀なアレルギー疾患研究項目などを測定しています。

免疫蛍光分析装置
赤血球・白血球・血小板やヘモグロビンなどを測定し、貧血や血液疾患がないか、炎症の程度などを調べます。また、種々の凝固検査も行っており手術前のスクリーニングや治療に役立ちます。


顕微鏡を用いて白血球の目視を行い、白血球の分類や異常細胞の検出を行っています。


尿中の蛋白・糖・潜血・白血球等を定性・定量測定するほか、血球成分や円柱などの有形成分を調べることにより腎疾患や尿路感染症、糖尿病の状態把握に役立ちます。また、便潜血、髄液、関節液などの検査も行っています。

全自動尿中有形成分分析装置
血液型検査(ABO式、Rh式)や不規則性抗体スクリーニング検査(妊娠や輸血によって作られた抗体の有無を調べる検査)また、患者さまが輸血をする場合に行う交差適合試験(その血液製剤が輸血をしても問題がないかどうかを調べる検査)などを行っています。

全自動輸血検査装置
一覧に掲載されている検査項目は、当院の代表的な項目です。基準範囲および検査内容の解説に関しては、ひとつの目安として参考にしてください。
結果の判断や下記以外の項目などご不明な点については担当医にご相談ください。

微生物検査は患者さまから採取した「血液」「尿」「便」「喀痰(かくたん)」「喉のぬぐい液」などの検体をもとに、体の中に侵入したウイルス・細菌・真菌などの“病原微生物”を調べる検査です。
その目的は主に「どのような病原体が原因か」を特定し、「その病気に対してどの薬(抗菌薬・抗ウイルス薬など)が効果的か」を調べる部門です。


遺伝子検査などより迅速かつ精度の高い検査方法を導入し、できるだけ速やかに原因微生物を特定し、適切な治療につなげられるよう努めています。

自動遺伝子解析装置
心臓の電気的興奮を体の表面につけた電極でとらえ波形として記録する検査です。心臓のリズムの乱れを心電図で計測し不整脈の鑑別(危険性の少ない不整脈と治療が必要となる危険性の高い不整脈)、波形振幅の大きさや形の変化で、心肥大や虚血性心疾患(狭心症、心筋梗塞)等の鑑別診断がなされます。
心電図検査は横臥位で行うもののほか、2段の階段を昇降運動して心臓に負荷をかけ、症状の有無や心電図変化を記録する運動負荷試験(マスターテスト)、運動耐応能を調べるトレッドミル検査があります。
また、胸部に電極をつけて24時間の心電図を記録・解析するホルター心電図検査があります。
![]() 心電計 |
![]() 運動負荷心電図測定装置 |
![]() ホルター心電計 |
肺から出入りする空気の量などを測定して、肺の働きを調べる検査です。もっとも一般的な検査が肺活量の測定で、呼吸器疾患の重症度を調べたり、大きな手術の前に肺の働きをチェックします。また、必要に応じて、その他の精密検査や負荷検査を行います。
![]() 電子スパイロメーター |
![]() 呼吸機能検査装置 |
![]() 総合呼吸抵抗測定装置 |
腹部超音波では主に肝臓・胆のう・膵臓・腎臓・脾臓などの形や内部の異常の有無を調べます。産科超音波では胎児の発育状態を週数を追って調べています。心臓超音波は主に心臓の動きや、壁の厚さ、心臓内の弁の状態などを観察する検査です。心臓の中を流れている血流を観察することもできます。その他、血管・乳腺等の超音波検査も実施しています。


頭皮に電極を装着し、脳の神経細胞から発生する微弱な電気活動(脳波)を記録して、脳の機能状態を調べる検査です。安静時や光刺激、深呼吸、睡眠時などに脳波の変化を観察し、脳腫瘍、脳血管障害、睡眠障害などの診断に用いられます。

脳波計
両腕と両足首の血圧と脈波を測定し、血管の硬さや足首の血圧とと腕の血圧の比から動脈硬化の程度や血管の狭窄・閉塞を評価する検査です。

血圧脈波検査装置
病理診断は病理診断科の医師(病理医)が行いますが、臨床検査技師は病理診断を行うための組織診断標本の作製と細胞診断のスクリーニング(正常なものと異常のあるもののふりわけ)を行っています。
病理診断については「病理診断科」のページもご覧ください。
![]() 標本作製1(包埋) |
![]() 標本作製2(薄切) |
![]() 標本作製3(染色) |
組織診断は、患者さまから内視鏡検査や手術で採取した組織や臓器から標本を作製し、顕微鏡で詳しく調べることで病気の有無や性質を評価する検査です。特に「がんの最終診断」に欠かせない重要な検査として位置づけられています。
標本作製は、採取された組織や臓器をホルマリン液で固定後、小さく切り「切り出し」、パラフィン(ろう)の中に埋め込みます「包埋 」。これを1~3μmの厚さに薄く切り「薄切」、スライドガラスに貼り付けたあと、ヘマトキシリン・エオジン染色を行います。必要に応じて特殊染色を追加します。出来上がった標本を病理医が顕微鏡で観察し、診断を行います。
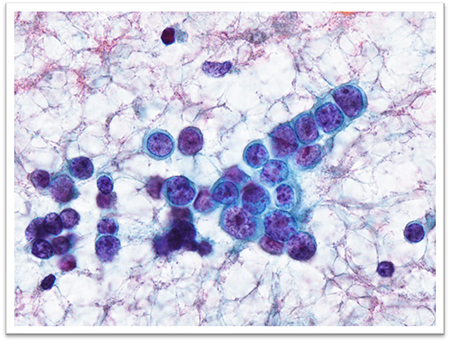
細胞診スクリーニングは患者さまから採取した細胞を顕微鏡で観察し、正常・異常をふりわける検査です。異常が疑われる部分にマーキングし、病理医に報告します。

